טיפולים למבוגרים

הלבנת שיניים אקולוגית על ידי מכשיר ההלבנה המוביל בישראל white+.


ציפויים בעקבות נסיגה

שינוי אסטתי

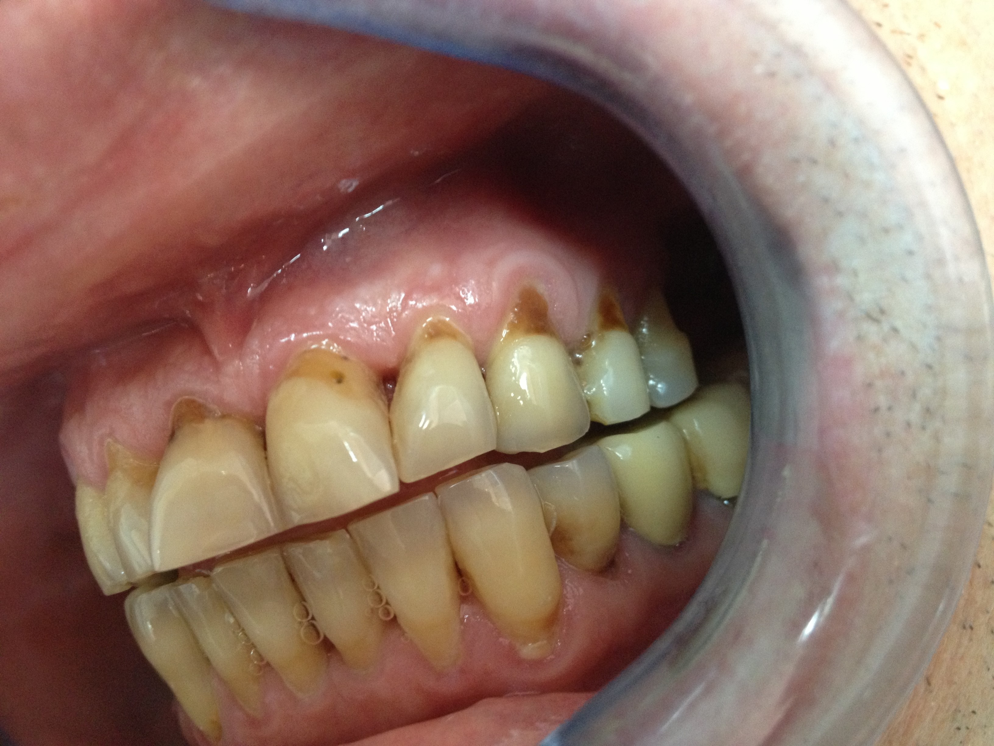
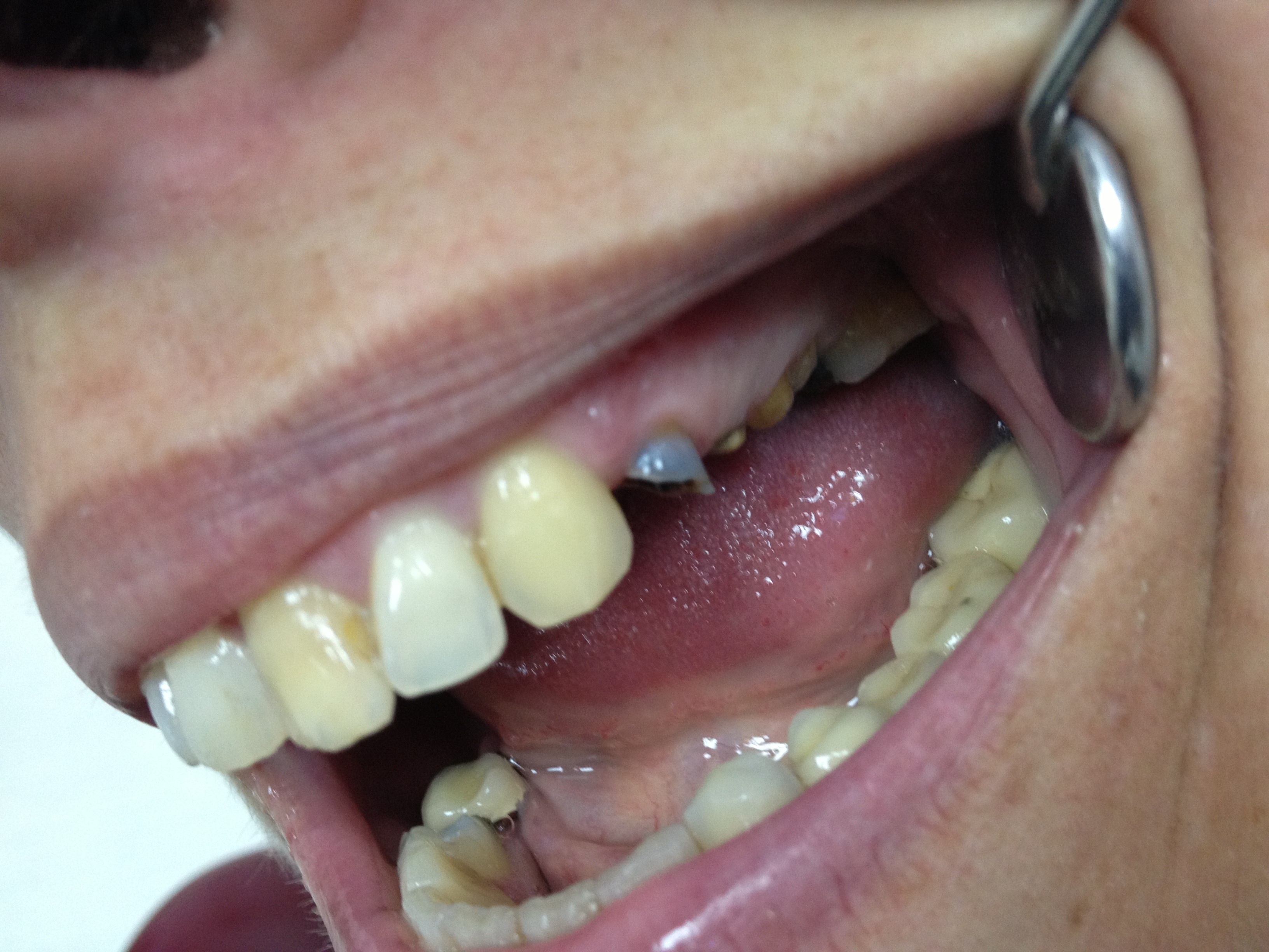
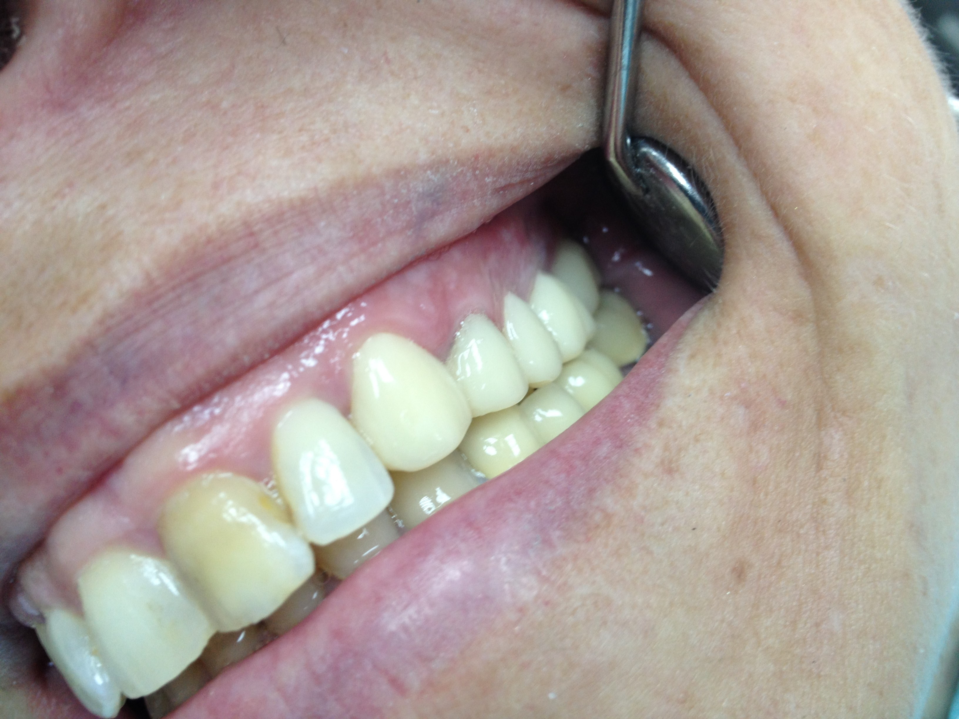
שיקום ע״י כתרים

כתר קדמי

כתרים בסריקה דיגיטאלית



כתרים ללא מתכת זירקוניה lava, ציפויי חרסינה למינייטס (laminates)


החלפת סתימות אמלגם לסתימות לבנות ושחזורים בצבע השן

שיקום אסתטי על שתלים


סדי הגנה לספורטאים - Mouthguard


טיפולי שורש בעזרת מכשור מתקדם
טיפולים כירורגיים והשתלות על ידי מומחה פה ולסת
ניקוי אבנית הסרת כתמים כמו ניקוטין על ידי שיננית מוסמכת


כל הטיפולים במרפאה נעשים בידי צוות רופאים המתמחים כל אחד בתחומו ושואפים לתת את הגבוה ביותר.